Amalgamsanierung
auf unsere biologische Art

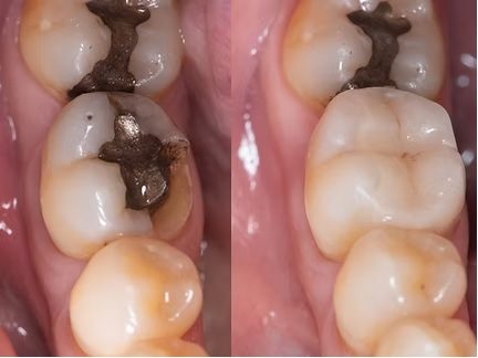
Amalgam ist eine quecksilberhaltige Metalllegierung, die aufgrund möglicher allergener Eigenschaften sowie aus ästhetischen Gründen heute zunehmend kritisch betrachtet wird.
Als Alternativen kommen moderne Werkstoffe wie Kunststoff, Keramik oder Gold infrage. Wir beraten dich hierzu individuell und umfassend hinsichtlich Haltbarkeit, Verträglichkeit und Ästhetik.
Amalgamfüllungen können heute in der Regel sicher und unproblematisch durch zahnfarbene, amalgamfreie Restaurationen ersetzt werden. Die Entfernung erfolgt unter speziellen Schutzmaßnahmen wie Kofferdam (Spanngummi) und Absaugtechniken.
Begleitend zur Amalgamsanierung kann eine gezielte Ausleitung von Schwermetallen sinnvoll sein, um den Körper bei der Entgiftung zu unterstützen. Hierfür bieten wir eine spezielle Amalgamausleitung an.
zurück zu:
weiter zu:
Öffnungszeiten
Kontakt
Mo – Di: 08:00 – 12:00 & 14:30 – 17:00
Mittwoch: 08:00 – 12:00
Donnerstag: 08:00 – 12:00 & 14:30 – 17:00
Freitag: 08:00 – 12:00
Sa – So: Geschlossen
Telefon: 06206-7211
E-Mail: info@unodenta.de
